Bereichsbild
Kontakt

Prof. Dr. Fred Hamprecht
Interdisziplinäres Zentrum für Wissenschaftliches Rechnen
Telefon (06221) 54-14833
fred.hamprecht@iwr.uni-heidelberg.de

Kommunikation und Marketing
Pressestelle
Tel. +49 6221 54-2311
presse@rektorat.uni-heidelberg.de

 
Originalpublikation

T. Beier, C. Pape, N. Rahaman, T. Prange, S. Berg, D.D. Bock, A. Cardona, G.W. Knott, S.M. Plaza, L.K. Scheffer, U. Koethe, A. Kreshuk, and F.A. Hamprecht: Multicut brings automated neurite segmentation closer to human performance, Nature Methods 14, 101-102 (published online 31 January 2017), doi:10.1038/nmeth.4151

 
Weitere Informationen
Service

Pressemitteilungen als Feed
RSS | Twitter

 
SUCHE

Auf dem Weg zu einem Schaltplan des Gehirns

Pressemitteilung Nr. 35/2017
7. März 2017
Heidelberger Wissenschaftler entwickeln einen neuen Algorithmus für die Auswertung von Bilddaten
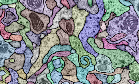
Fliegengehirn

Abbildung: Thorsten Beier, IWR

Die Abbildung zeigt den winzig kleinen Teil eines Fliegengehirns. Die automatische Analyse zerlegt einen dreidimensionalen Bildstapel in einzelne Nervenzellen, die hier mit willkürlichen Farben versehen sind. Zwanzig solcher Bilder nebeneinander entsprechen in etwa dem Durchmesser eines menschlichen Haares.

Eine genaue Kenntnis der Verknüpfungen im Gehirn – der Verbindungen zwischen allen Nervenzellen – gilt als Voraussetzung für ein besseres Verständnis dieses komplexesten aller Organe. Wissenschaftler der Universität Heidelberg haben jetzt einen neuen Algorithmus, das heißt ein neues Rechenverfahren, entwickelt, das mit weitaus größerer Genauigkeit als bisherige in der Lage ist, aus mikroskopischen Bildern des Gehirns auf dessen Verknüpfungsstruktur zu schließen. Von dieser automatischen Auswertung der Bilddaten erwartet Prof. Dr. Fred Hamprecht, Leiter der Arbeitsgruppe „Bildanalyse und Lernen“ am Interdisziplinären Zentrum für Wissenschaftliches Rechnen, wichtige Fortschritte für die Neurowissenschaften. Sie soll zu einem Schaltplan des Gehirns führen.

Die Funktionsweise des Gehirns zu verstehen, ist eines der großen ungelösten Probleme der Wissenschaft. „Bis heute ist, von einem einfachen Fadenwurm einmal abgesehen, noch nicht einmal der Schaltplan eines kompletten tierischen Gehirns verfügbar, nicht zu reden vom Gehirn des Menschen“, sagt Fred Hamprecht. In den vergangenen Jahren wurden Bildgebungsverfahren entwickelt, die erstmals die Aufnahme von ausreichend hoch aufgelösten dreidimensionalen Bildern des gesamten Gehirns ermöglichen. Diese Aufnahmen sind jedoch so groß, dass eine manuelle Analyse Jahrhunderte dauern würde. Gefordert ist daher eine automatische Auswertung mit möglichst geringer Fehlerrate.

Der neue Heidelberger Algorithmus verwendet nichtlokale Bildinformation: Dabei betrachten die Wissenschaftler Bildregionen, die nicht nebeneinanderliegen, und schätzen, ob sie zur selben Nervenzelle gehören. Dr. Björn Andres vom Max-Planck-Institut für Informatik in Saarbrücken hat gezeigt, wie Wechselwirkungen mit kurzer und langer Reichweite gleichzeitig berücksichtigt werden können. Ziel ist es, eine optimale Lösung zu finden, die beiden Arten von Bildinformationen in bestmöglicher Weise gerecht wird. „Wir erreichen damit erheblich niedrigere Fehlerraten als alle bislang bekannten Methoden“, so Prof. Hamprecht.

Die Leistungsfähigkeit automatischer Auswertungsverfahren messen Forschergruppen weltweit in Wettbewerben: Ein vorgegebenes dreidimensionales Bild muss dabei in alle Nervenzellen zerlegt werden, die dort abgebildet sind. In einem aufwändigen manuellen Verfahren wird zuvor die korrekte – aber geheimgehaltene – Zerlegung ermittelt. Alle Einreichungen werden damit verglichen; das Verfahren mit der niedrigsten Fehlerrate „gewinnt“. Den Forschern am Interdisziplinären Zentrum für Wissenschaftliches Rechnen ist es jetzt gelungen, im jüngsten „Zerlegungswettbewerb“, dem CREMI Challenge on Circuit Reconstruction from Electron Microscopy Images, die weitaus höchste Genauigkeit bei der Auswertung zu erzielen.

Die Herausforderung, mithilfe dieser Analyse-Verfahren das Verknüpfungsdiagramm eines Gehirns zu erstellen, erläutert Fred Hamprecht am Beispiel der Fliege, die zu erstaunlichen Leistungen fähig ist: Sie findet Futter, Schutz und Geschlechtspartner in einer komplexen und oft feindlichen Umwelt. „Obwohl ihr Gehirn kleiner ist als der Kopf einer Stecknadel, ist das Diagramm ihrer neuronalen Verknüpfungen nach wie vor unbekannt.“ Mit ihrem neuen Algorithmus arbeiten die Heidelberger nun zunächst an einem Schaltplan des Fliegengehirns, um sich dann höheren Tieren zuzuwenden, wie die Mathematikerin Dr. Anna Kreshuk erläutert.

Die Arbeitsgruppe „Bildanalyse und Lernen“ entwickelt seit fünfzehn Jahren Algorithmen für maschinelle Lernverfahren im Bereich „Computer Vision“, die vor allem in den Lebenswissenschaften, aber auch in der Industrie eingesetzt werden. Die jüngsten Forschungsergebnisse, die auf einer engen internationalen Zusammenarbeit beruhen, wurden in der Fachzeitschrift „Nature Methods“ veröffentlicht.

Seitenbearbeiter: E-Mail
Letzte Änderung: 16.03.2017
zum Seitenanfang/up